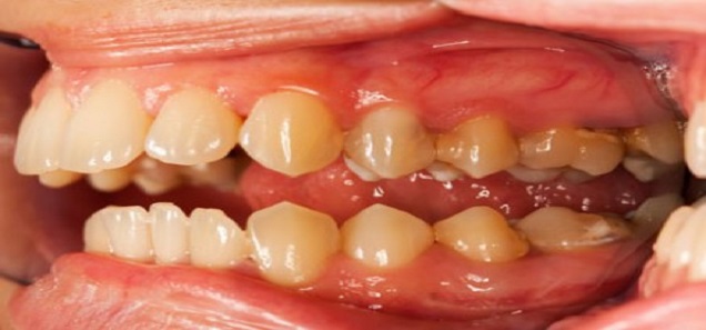
يعتبر التهاب اللثة ثاني مسبب لفقدان الأسنان بعد تسوس الأسنان (المسبب الأول )، ولكنه أخطر وأكبر ضررا من التسوس لأنه في أغلب الأحيان يؤدي إلى فقدان أكثر من سن في آن واحد ، أما التسوس فيؤدي إلى فقدان السن نفسه دون أن يؤثر على الأسنان من حوله
هذا و قد أكدت دراسة أمريكية، أن ثمرة الزبيب غنية بخمسة مركبات كيميائية نباتية تعمل على مكافحة البكتيريا، التي تسبب تسوس الأسنان والتهاب اللثة، كما إنها مضادة للأكسدة و تمنع التصاق البكتيريا بسطح الفم، مما يمنع تكون طبقة البلاك الجرثومية على الأسنان.
و كشفت التحليلات المعملية التي أجراها الباحثون، أن الكيماويات ذات الأصل النباتي التي يحتويها الزبيب تمنع نمو عدد من البكتيريا المسببة للتسوس وأمراض اللثة.
وأظهرت التحاليل وجود خمسة مركبات في الزبيب الخالي من البذور،وهى حمض اليانوليك، والونوليك الدهيد، وحمض بيتولينك، وهيدروكسيمثيل، فرفورال وكل هذه الكيماويات مضادة للأكسدة.
ويتميز الزبيب بنسبه عاليه منفيتامين C، ويرى الباحثون أن نتائج هذه الدراسة تدحض
الانطباعات المستقرة لدى الكثيرين بان الزبيب يفاقم مشكلة تسوس الأسنان، ذلك أن
الزبيب يعتبر حلوى قابله للالتصاق و عادة ما تسبب السكريات الملتصقة تسوس الأسنان
وعلى العكس بينت نتائج الدراسة، أن محتويات الزبيب من الكيماويات ذات الأصل النباتي تفيد صحة الفم بمقاومة البكتيريا المسببة لتسوس الأسنان وأمراض اللثة.
كما يحتوي على عناصر غذائية عديدة ومنها: فيتامين ب المركب، وعلى بعض الأملاح المعدنية مثل الكالسيوم، النحاس، اليود، الفسفور والبوتاسيوم.

ليست هناك تعليقات:
إرسال تعليق